안녕하세요, 여러분! 갑자기 발목을 삐끗했는데, 이게 단순한 염좌가 아니라 뼈가 부러진 외측복사골절이라면?
생각만 해도 아찔하죠? 그런데 여기서 끝이 아니라는 사실, 알고 계셨나요? 바로 '후유장해'라는 무서운 단어가 따라붙을 수 있다는 건데요. 외측복사골절 후유장해, 솔직히 말해서 저도 처음엔 막연하게만 생각했어요. 하지만 주변에서 실제로 겪는 분들의 이야기를 들어보면, 단순히 통증을 넘어 일상생활에 큰 제약이 생기고, 심지어 경제적인 문제까지 이어지는 경우가 많더라고요. 우리가 이 문제를 정확히 알고 대비해야만, 혹시 모를 상황에 현명하게 대처할 수 있지 않을까요? 오늘은 외측복사골절 후유장해에 대한 오해와 진실을 파헤치고, 어떻게 준비해야 할지 함께 이야기 나눠볼게요.
“발목 골절은 치료 후에도 완전히 회복되지 않는 경우가 많습니다. 특히 외측복사골절은 발목의 안정성과 직결되기 때문에, 만성적인 통증이나 불안정성을 남길 수 있어 주의가 필요합니다.” - 정형외과 전문의 A씨 (2025년 인터뷰 발췌)
아시죠? 발목은 우리 몸의 중요한 기둥이에요. 하루 종일 우리 체중을 지탱하고 걷고 뛰는 모든 활동에 관여하죠. 그런 발목에 골절이 생긴다는 건, 단순히 뼈 하나 부러진 것 이상의 의미를 가집니다. 특히 외측복사골절은 발목 바깥쪽에 있는 뼈가 부러지는 건데, 이게 발목 관절의 안정성을 담당하는 중요한 부분이거든요. 다치고 나서 수술이나 치료를 잘 받아도, 완벽하게 예전처럼 돌아오지 않는 경우가 생각보다 많다는 거죠. 그래서 우리는 '외측복사골절 후유장해'라는 개념을 정확히 알아야 해요.
외측복사골절 후유장해, 그게 정확히 뭔데요? (정의와 기준)

자, 그럼 외측복사골절 후유장해가 대체 뭘까요? 쉽게 말해서, 골절 치료가 끝났는데도 불구하고 발목 기능이 완전히 회복되지 않아서 영구적으로 불편함이 남는 상태를 의미해요. 예를 들면, 발목을 움직이는 데 제한이 있거나, 만성적인 통증이 계속되거나, 발목이 불안정해서 자주 삐끗하는 등의 증상이 나타날 수 있죠. 이런 상태가 의학적으로 '장해'로 인정되면, 보험 약관이나 법적인 기준에 따라 보상을 받을 수도 있는 거고요.
여기서 잠깐, '장해'와 '장애'는 좀 다른 개념이라는 걸 알아두시면 좋아요. '장애'는 신체적, 정신적 손상으로 인해 장기간에 걸쳐 일상생활이나 사회생활에 상당한 제약을 받는 상태를 말하며, 주로 복지 혜택과 관련이 깊어요. 반면에 '장해'는 특정 사고나 질병으로 인해 신체 기능이 영구적으로 상실되거나 감소된 상태를 의미하고, 주로 보험 보상이나 손해배상과 관련이 깊답니다. 오늘 우리가 이야기하는 외측복사골절 후유장해는 후자에 가깝다고 보시면 돼요.
그렇다면 어떤 경우에 후유장해로 인정될 수 있을까요? 보통은 골절 부위의 관절 운동 범위 제한, 신경 손상으로 인한 감각 이상, 만성 통증으로 인한 보행의 어려움 등이 기준이 될 수 있습니다. 하지만 이 모든 건 객관적인 의학적 진단과 평가를 통해서만 가능해요. 단순히 '내가 아파요' 하는 주관적인 느낌만으로는 인정받기 어렵다는 뜻이죠. 그래서 더 복잡하고, 제대로 준비해야 하는 부분이기도 합니다.
오해와 진실: 외측복사골절 후유장해에 대한 흔한 착각들

외측복사골절 후유장해에 대해 많은 분들이 잘못 알고 있는 부분들이 있어요. 이런 오해 때문에 제대로 된 대처를 못 하는 경우도 많으니, 지금부터 하나씩 짚어볼게요.
- 오해 1: “수술 잘 되면 후유장해는 없어요.”
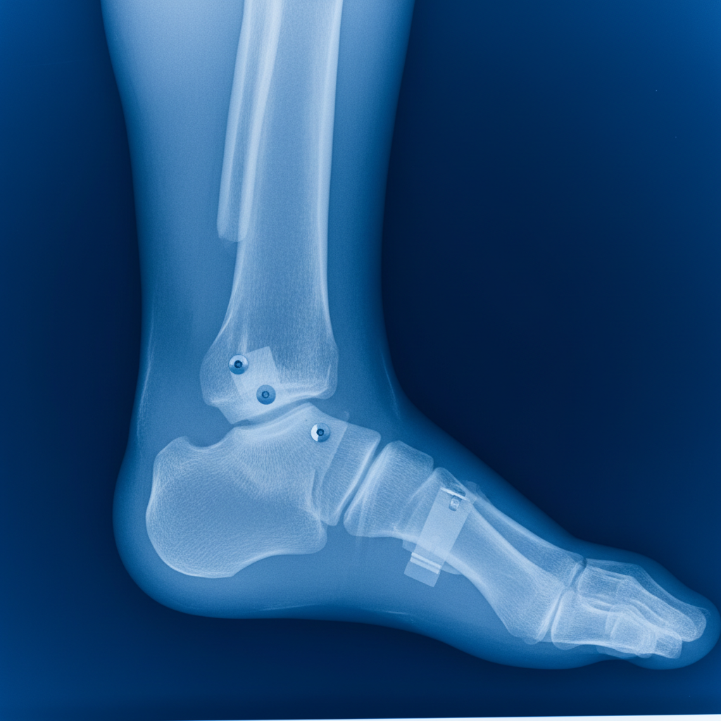
진실: 많은 분들이 수술만 잘 받으면 모든 게 해결될 거라고 생각하시는데요, 안타깝게도 꼭 그렇지만은 않아요. 수술은 골절된 뼈를 원래 위치로 돌려놓고 안정화시키는 과정이지만, 그 과정에서 주변의 인대나 연골, 신경 등에 미세한 손상이 생길 수 있고요. 또한, 뼈가 아물어도 발목 관절의 움직임이 예전 같지 않거나, 금속핀이나 나사 같은 내고정물이 계속 통증을 유발하는 경우도 있답니다. 수술 성공 여부와 별개로 기능 제한이 남을 수 있다는 점, 꼭 기억해야 해요. - 오해 2: “시간 지나면 다 괜찮아져요.”
진실: 물론 시간이 지나면서 자연스럽게 회복되는 부분도 많아요. 하지만 외측복사골절 후유장해는 만성 통증, 발목 불안정성, 관절염 등으로 이어질 가능성도 무시할 수 없습니다. 특히 재활 치료를 소홀히 하거나, 너무 일찍 일상생활로 복귀해서 무리하게 발목을 사용하면 오히려 증상이 악화되기도 해요. 전문가들은 골절 후 최소 6개월에서 1년 정도는 꾸준히 발목 상태를 관찰하고 관리하는 것이 중요하다고 강조합니다. - 오해 3: “후유장해는 무조건 보상받을 수 있어요.”
진실: 후유장해 진단을 받았다고 해서 무조건 보상을 받을 수 있는 건 아니에요. 보험사나 법적인 기준에 따라 명확한 평가와 심사가 필요하거든요. 예를 들어, 개인 보험의 경우 약관에 명시된 장해 분류표에 따라야 하고, 산재나 자동차 사고의 경우에도 각각의 기준이 적용됩니다. 객관적인 의학적 진단서와 영상 자료, 그리고 꾸준한 재활 기록 등이 중요한 증거 자료가 되기 때문에, 철저하게 준비해야 해요.
후유장해 진단, 왜 이렇게 복잡하고 어려울까요? (비교 분석)
외측복사골절 후유장해를 인정받는 과정이 왜 이렇게 복잡할까요? 바로 '객관적인 평가'가 어렵기 때문이에요. 의료진의 입장에서는 환자의 회복을 돕는 데 집중하지만, 보험사나 법적인 측면에서는 '얼마나 기능이 상실되었는지'를 수치화하고 기준에 맞춰야 하거든요. 여기서 바로 여러 가지 의견 차이가 발생하게 됩니다.
주로 장해 평가에는 두 가지 방식이 많이 언급돼요. 하나는 '맥브라이드 방식'이고 다른 하나는 'AMA 방식'인데요, 쉽게 말해 장해를 평가하는 기준이 좀 다르다는 거죠.
- 맥브라이드 방식: 주로 노동 능력 상실률을 평가하는 데 사용돼요. 환자가 다친 부위 때문에 '얼마나 일을 못 하게 되었는지'에 초점을 맞추는 거죠. 직업의 종류나 연령 등을 고려해서 장해율을 산정하기 때문에, 개인의 상황에 따라 장해율이 달라질 수 있어요. 주로 손해배상 소송이나 산재 보험에서 많이 활용됩니다.
- AMA 방식: 신체 각 부위의 기능적 손상률을 의학적으로 객관화해서 평가하는 방식이에요. '몸이 얼마나 손상되었는지' 그 자체에 집중하는 거죠. 관절 운동 범위, 신경 손상 정도 등을 측정해서 표준화된 표에 따라 장해율을 산정합니다. 주로 개인 보험의 후유장해 보험금 산정 시에 많이 활용되고 있어요.
보이시죠? 어떤 방식으로 평가하느냐에 따라 장해율이 달라질 수 있고, 그에 따른 보상 금액도 차이가 날 수 있다는 거예요. 게다가 장해 진단 시기도 중요합니다. 골절 치료 후 '상태가 고정되었다'고 판단되는 시점에 진단을 받아야 하는데, 보통은 골절 후 6개월에서 1년 정도를 봅니다. 이 모든 과정이 복잡하고 어렵기 때문에, 혼자서 해결하려고 하기보다는 전문가의 도움을 받는 것이 훨씬 현명한 방법이라고 할 수 있어요.

현명한 대처를 위한 팁: 이것만은 꼭 기억하세요!
외측복사골절 후유장해, 막연하게만 생각하면 더욱 어렵게 느껴질 거예요. 하지만 제대로 알고 준비하면 충분히 대처할 수 있습니다. 다음 몇 가지 팁을 꼭 기억해주세요!
- 꾸준한 재활 치료는 필수! 그리고 기록도 필수!
재활 치료는 단순히 회복을 넘어 후유장해를 최소화하는 데 가장 중요한 과정이에요. 의사 선생님이 처방해 준 재활 운동, 물리치료 등을 꾸준히 받으셔야 합니다. 그리고 이 모든 재활 과정을 기록으로 남겨두는 게 좋아요. 언제 어떤 치료를 받았는지, 발목 상태는 어땠는지 등을 상세히 기록하면 나중에 후유장해를 평가받을 때 중요한 자료가 될 수 있어요. - 의료 기록을 철저히 보관하세요.
골절 진단서부터 수술 기록지, 입퇴원 기록, 외래 진료 기록, 처방전, 영상 자료(X-ray, MRI 등)까지 모든 의료 기록은 빠짐없이 보관해야 합니다. 이 모든 기록이 외측복사골절 후유장해를 증명하는 핵심적인 증거가 되기 때문이에요. 혹시 모를 상황에 대비해서 사본을 여러 개 만들어두는 것도 좋은 방법이에요. - 전문가와 반드시 상담하세요.
혼자서 이 복잡한 과정을 헤쳐나가기란 정말 쉽지 않아요. 정형외과 전문의와 꾸준히 상담하며 발목 상태를 정확히 진단받고, 후유장해 진단 가능성에 대해 미리 논의하는 것이 중요해요. 또한, 보험 약관 해석이나 손해사정 업무는 일반인이 알기 어려운 전문 분야입니다. 따라서 손해사정사와 같은 전문가의 도움을 받아 자신의 권리를 제대로 찾고, 합리적인 보상을 받을 수 있도록 준비하는 것이 현명합니다. - 급하게 합의하지 마세요.
사고 후 치료 과정에서 보험사로부터 합의 제안이 올 수 있어요. 이때 조급한 마음에 섣불리 합의하는 것은 금물입니다. 후유장해 여부는 골절 후 일정 기간이 지나야 명확히 판단될 수 있기 때문에, 치료가 완전히 끝나고 장해 상태가 고정되었다고 판단될 때까지는 합의를 보류하는 것이 좋습니다. 충분한 시간을 가지고 전문가와 상의 후 결정해야 해요.
외측복사골절 후유장해, 제대로 알고 슬기롭게 헤쳐나가요!
오늘은 외측복사골절 후유장해에 대한 다양한 이야기를 나눠봤어요. 어떠셨나요? 아마 많은 분들이 생각보다 복잡하고 어려운 문제라는 걸 느끼셨을 거예요. 하지만 너무 걱정하지 마세요. 중요한 건 이 문제를 제대로 이해하고, 어떻게 대처해야 할지 미리 준비하는 겁니다. 꾸준한 재활, 철저한 기록 관리, 그리고 전문가와의 상담을 통해 여러분의 소중한 발목 건강과 권리를 지킬 수 있습니다.
외측복사골절 후유장해는 단순히 신체적인 고통을 넘어, 우리의 일상과 삶의 질에 큰 영향을 미칠 수 있는 문제예요. 그러니 만약 이와 관련된 어려움을 겪고 계신다면, 혼자서 고민하지 마시고 반드시 전문가의 도움을 받으시길 강력히 권해드립니다. 의학적인 부분은 정형외과 전문의에게, 보상이나 법률적인 부분은 손해사정사나 변호사에게 상담을 받아보세요. 여러분의 현명한 선택이 건강한 내일을 만들 겁니다. 이 글이 여러분에게 조금이나마 도움이 되었기를 바라요!